心臓超音波

心臓には4つの部屋(左心房・左心室・右心房・右心室)があり、それぞれの部屋への逆流を防ぐために4つの弁(大動脈弁・僧帽弁・三尖弁・肺動脈弁)があります。心臓超音波検査では、心臓の形態、心臓の働き、心臓内の血液の流れに異常がないかなどを調べます。これにより心肥大、心機能、弁の狭窄や逆流、心臓内の短絡血流などがわかります。
要精密検査になった場合は、循環器内科をご受診ください。

疑われる病気

虚血性心疾患(心筋梗塞など)/心筋症(肥大型・拡張型)/弁膜症/先天性心疾患など

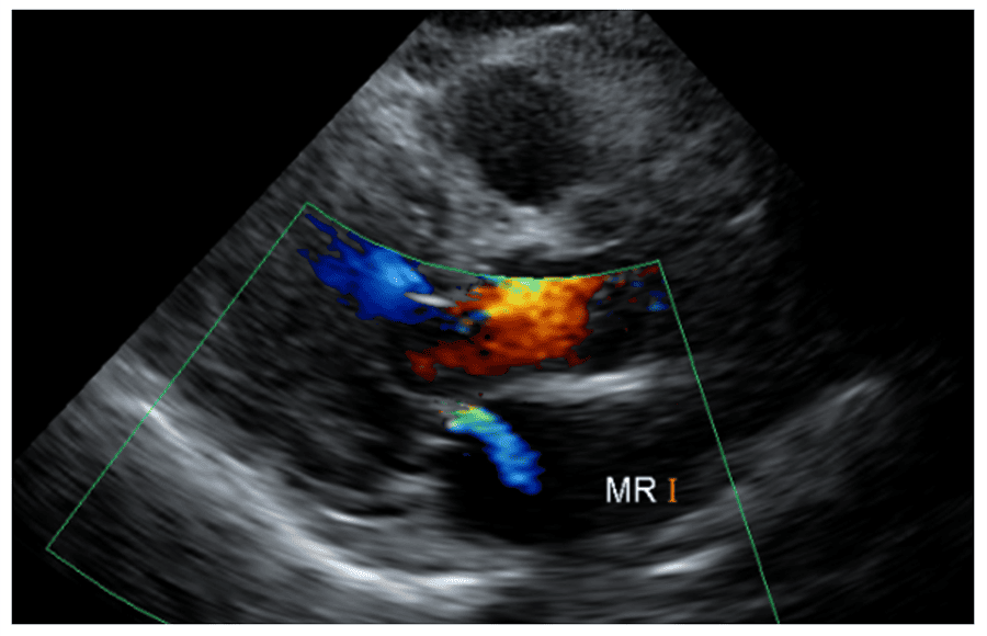
僧帽弁逆流

心嚢液貯留

主な所見

僧帽弁逆流/大動脈弁逆流

心臓の弁が正常に閉まらないことで血液が逆流している状態です。血液の逆流が軽度な場合、症状を自覚することはほぼありませんが、中等度~高度になると息切れや動悸、呼吸困難などがみられることがあります。原因として先天的なものや後天的なものがあり、加齢が原因となることもあります。

大動脈弁狭窄

心臓の弁の1つである大動脈弁がきちんと開かない状態です。大動脈弁が狭窄するのは弁が硬くなったり、くっついたりするからです。原因には先天的なもの、加齢、動脈硬化などがあります。

左室壁肥厚(左室肥大)

左室心筋内の心筋細胞が肥大することにより、左室の壁の厚みが増加した状態のことをいいます。左室肥大の原因は高血圧が最も多いですが、大動脈弁狭窄症、肥大型心筋症などによるものもあります。

左室・左房内径拡大

左室や左房の内腔(内径)が大きいことをいいます。ほかの心臓疾患の兆候や結果として現れることもあります。