脳MRI/脳MRA/頚部MRA

脳MRI

脳全体の詳細な断面像を撮影します。まだ自覚症状が現れていない小さな脳梗塞や脳腫瘍、脳出血などを発見することができます。また、その発生部位や大きさなどが詳しくわかります。

脳MRA

脳の血管を立体画像として写し出します。脳梗塞の原因となる脳動脈の狭窄や閉塞、くも膜下出血や脳出血の原因となる脳動脈瘤や血管奇形を発見することができます。

頚部MRA

頚部の血管を立体画像として写し出します。脳へ血液を送っている頚動脈の狭窄や閉塞などを見つけることができます。頚動脈の状態を確認することで、脳血管疾患のリスクを知ることができます。

再検査・要精密検査になった場合は、結果報告書に記載された専門科をご受診ください。

主な部位と脳底の動脈


血管の断面図

主な所見(脳)

加齢性変化

年をとると顔にシワやシミができるのと同じように、脳も少し萎んだり、シミができたり、血管が蛇行したりしますが、これらの所見をまとめて加齢性変化と呼んでいます。病気ではないので、問題ありません。

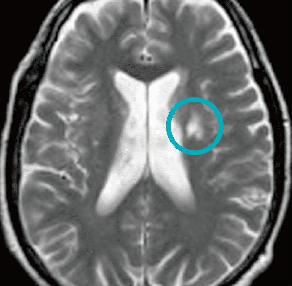
慢性虚血性変化

年をとると顔にシワやシミができるのと同じように、脳も少し萎んだり、シミができたりしますが、脳のシミが少し目立っている状態です。進行すると脳卒中の危険因子になると考えられています(危険比率2.0〜2.7倍)。これ自体を治療することはできません。背景に高血圧など他の病気が隠れていることもありますので、健診で指摘された他の問題点について、改善するように努めてください。病変の程度によっては経過観察が必要になります。万一症状が出現した際は、直ちに医療機関を受診してください。

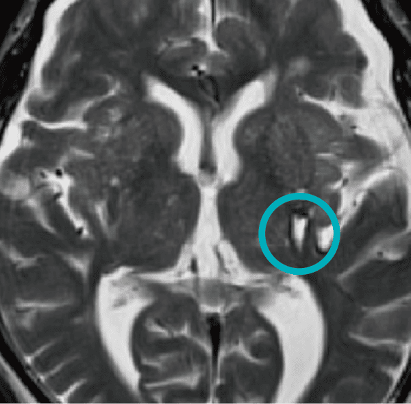
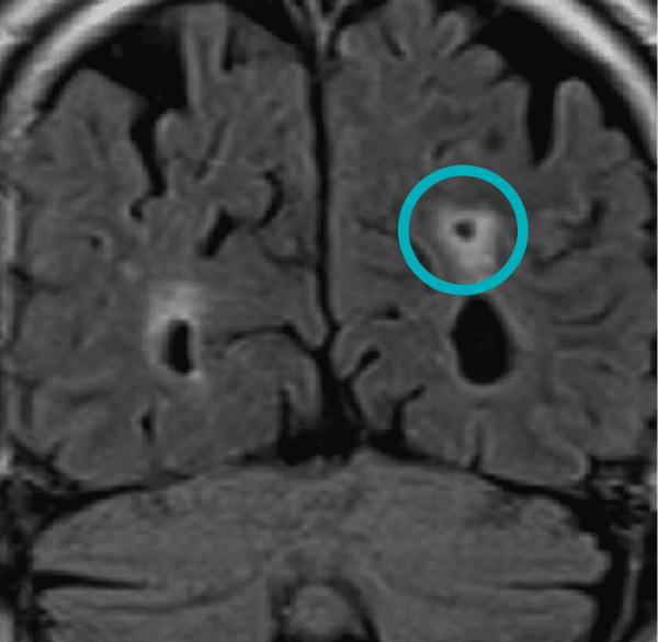
陳旧性ラクナ梗塞

ラクナ梗塞はごく細い動脈が詰まることで生じる小さな脳梗塞です。症状のないラクナ梗塞は、脳卒中の危険因子です(危険比率3.7倍)。これ自体を治療することはできません。背景に高血圧や動脈硬化など他の病気や喫煙習慣があることがあり、治療可能なものは治療しましょう。病変については、経過観察をおすすめします。万一症状が出現した際は、直ちに医療機関を受診してください。

陳旧性梗塞

古い脳梗塞があります。すでに生じてしまった病変を治療することはできません。原因に関係する生活習慣病(高血圧・脂質異常症・動脈硬化など)やその他の持病(心臓病など)や喫煙習慣があれば、主治医ないし専門医療機関とご相談のうえ、再発予防のための治療を行ってください。万一症状が出現ないし悪化した際は、直ちに医療機関を受診してください。

陳旧性出血

古い出血があります。現在は出血が止まっているようです。この病変自体を治療することはできません。原因に関係する生活習慣病(高血圧・動脈硬化など)やその他の持病(動脈瘤など)や喫煙習慣があれば、主治医ないし専門医療機関とご相談のうえ、再発予防のための治療を行ってください。万一症状が出現ないし悪化した際は、直ちに医療機関を受診してください。

陳旧性脳挫傷

脳に古い傷跡があります。過去の頭部外傷を疑う所見です。現在は落ち着いているようです。この病変自体を治療することはできません。万一症状が出現ないし悪化した際は、直ちに医療機関を受診してください。

先天奇形形成異常

脳または血管、その他の構造物の形態が、通常の形態とは異なる形態をしています。機能面では多くの場合問題ありません。万一症状が出現ないし悪化した際は、医療機関を受診してください。

正常変異

脳または血管、その他の構造物の形態が、最頻(標準)の形態とは異なる形態をしていますが、機能面では問題ありません。特に気にする必要はありません。

副鼻腔炎

顔面骨の中の空洞である副鼻腔に炎症を生じた状態です。顔面部の頭痛などの症状をきたすことがあります。症状が気になる場合は耳鼻科にて治療を行ってください。

乳突蜂巣炎

側頭骨の中の空洞に炎症を生じた状態です。側頭部の頭痛や聴力低下などの症状をきたすことがあります。症状が気になる場合は耳鼻科にて治療を行ってください。

主な所見(血管)

動脈硬化性変化

動脈に動脈硬化性変化を認めます。著しい狭窄や血流の途絶には至っていません。高血圧や脂質異常症などの生活習慣病や喫煙習慣があれば、治療を行ってください。程度が強くなると、経過観察や精密検査をおすすめします。

軽度狭窄

軽度の動脈狭窄が認められます。ほとんどの場合は動脈硬化の悪化によります。脳血流の低下をきたすほどではありませんので、経過観察を行います。原因に関係する生活習慣病(高血圧・脂質異常症・糖尿病など)や喫煙・飲酒習慣があれば、主治医ないし専門医療機関とご相談のうえ、発症予防のための治療を行ってください。万一症状が出現ないし悪化した際は、医療機関を受診してください。

狭窄

動脈の断面を半分以上塞ぐ動脈の局所的な狭窄があります。多くの場合は動脈硬化による変化です。脳卒中の危険がある状態です。専門医療機関にて、少なくとも経過観察や治療が必要な状況です。原因に関係する生活習慣病(高血圧・脂質異常症・糖尿病など)や喫煙・飲酒習慣の治療も必要です。万一症状が出現ないし悪化した際は、直ちに医療機関を受診してください。

動脈瘤

動脈瘤がありますが、経過観察を指示された場合は、微小動脈瘤であるために破裂のリスクが小さい状態と考えられます。増大傾向がないか、定期検診をおすすめします。高血圧や喫煙習慣がある場合は治療をおすすめします。万一拍動性頭痛や激しい頭痛などの症状が出現ないし悪化した際は、直ちに医療機関を受診してください。

漏斗状拡張

動脈の起始部の局所的な拡張で、一見動脈瘤のように見えますが、破裂リスクがほぼないものをいいます。通常は気にする必要がありません。検査の性質上、動脈瘤との区別に限界がある場合もあり、経過観察を指示されることもあります。

海綿状血管奇形

海綿状血管奇形は、以前海綿状血管腫と呼ばれた腫瘤状の血管病変で、出血を繰り返して徐々に大きくなり、時に症状(頭痛・けいれん・脳卒中)を呈することがあります。変化を見るために定期検診をおすすめします。症状が出現ないし悪化した際は、直ちに医療機関を受診してください。

静脈奇形

静脈奇形は、症状を伴わない良性の変化で、通常経過観察も必要ありません。稀に見えない大きさの海綿状血管奇形が合併しており、出血をきたすこともあるため、症状が出現した際は、医療機関を受診してください。

脳梗塞前ぶれ症状

脳梗塞には前ぶれがあることが少なくありません。数分から数時間で消えてしまいますが、放置せず、必ず医師の診察を受けましょう。

  • 左右どちらかの手足や顔半分がしびれる・動きが悪くなる
  • 突然ふらつき歩けなくなる
  • 肩や首がこる
  • 頭が痛い・めまいがする
  • ものが二重に見える
  • 片方の目が見えにくくなる
  • 視野が狭くなる
  • 人の言っていることがわからない
  • 突然ろれつが回らなくなる
  • 言葉が出にくくなる
  • ものが飲み込めなくなる など