頚動脈超音波

頚動脈超音波検査は、脳に血液を運ぶ左右の頚動脈を観察し、動脈の閉塞、狭窄、プラーク、血管壁肥厚などの有無や状態を調べます。頚動脈に動脈硬化がみられる場合、全身の動脈にも同様の病変が生じている可能性があり、心筋梗塞や脳梗塞を発症しやすい状態と推測できます。高血圧や糖尿病、脂質異常症がある場合、さらに確率が高くなります。
要精密検査になった場合は、脳神経外科または血管外科をご受診ください。

主な所見

内膜中膜複合体(IMT)肥厚

動脈は内膜、中膜、外膜の3層からなり、血管の内側にあたる内膜と中膜の厚さを計測した数値をIMT「内膜中膜複合体厚(Intima Media Thickness)」といいます。動脈硬化は加齢によって進行するため、IMTも年齢とともに厚くなる傾向ですが、1.1mm以上を肥厚と診断しています。

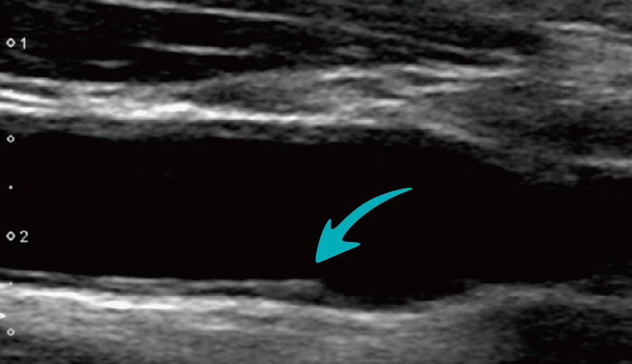
プラーク
低エコープラーク/等エコープラーク/高エコープラーク/不均一エコープラーク

プラークとは血管内にコレステロールや細胞などの粥腫が蓄積した、1.1mm以上の限局性の隆起のことです。厚いプラークがあれば動脈硬化の進行が疑われ、脳梗塞や心筋梗塞などの高リスク群となります。プラークはエコー輝度によって低エコー、等エコー、高エコーに分けられます。低エコーは粥腫や血腫、等エコーは線維組織、高エコーは石灰化病変を示唆しています。なかでも低エコープラークはもろいため、脳梗塞のリスクが高いと考えられています。また、プラークの輝度が均一か不均一かで分類もしています。エコー輝度が複数混在しているプラークを不均一プラークといい、均一プラークに比べて、脳卒中のリスクが高いといわれています。

狭窄

頚動脈の血管壁肥厚などによる動脈硬化が原因で、血管の内腔が狭くなった状態をいいます。これにより、脳内への血流量の低下をきたしたり、付着していた血栓が剥がれ、脳梗塞を引き起こす原因となります。